
Pemeriksaan Calcium Scoring
Penyakit jantung koroner merupakan salah satu penyebab kematian terbanyak dalam skala global. Atherosklerosis menjadi penyebab utama terjadinya penyakit jantung koroner.
Penumpukan kalsium yang terjadi pada pembuluh darah jantung memiliki korelasi yang kuat dengan derajat atherosclerosis. Sehingga, penghitungan nilai kalsium pada pembuluh darah jantung akan sangat berguna untuk memprediksi kemungkinan terjadinya penyakit jantung coroner di kemudian hari.
Calcium Scoring
Calcium scoring merupakan metode non-invasif yang digunakan untuk mengukur dan menganalisis seberapa banyak serta seberapa luas penumpukan kalsium pada pembuluh darah koroner. Penghitungan calcium scoring secara global dilakukan dengan menggunakan modalitas radiologi yaitu CT scan.
Apa tujuan dari pemeriksaan calcium scoring ?
Tujuan dari pemeriksaan calcium scoring adalah untuk mengetahui serta memprediksi seberapa besar kemungkinan seseorang terkena penyakit jantung koroner, terutama ketika individu tersebut telah memiliki risiko tinggi. Metode calcium scoring ini adalah pelengkap dari rangkaian deteksi dini penyakit jantung koroner lainnya seperti treadmill test dan echocardiography.
Bagaimana persiapan pemeriksaan calcium scoring?
Pasien disarankan untuk menghindari konsumsi kafein serta merokok sebelum pemeriksaan dilakukan. Hal ini dilakukan agar tidak terjadi peningkatan detak jantung yang dapat mempengaruhi hasil pemeriksaan. Obat-obatan yang rutin dikonsumsi dapat diteruskan.
Pasien juga disarankan untuk tidak menggunakan asesoris/perhiasan apapun selama pemeriksaan serta mengenakan pakaian yang nyaman dipakai. Bila perlu pada saat akan diperiksa, pasien dapat mengenakan gaun pemeriksaan.
Bagaimana prosedur pemeriksaan calcium scoring?
Prosedur pemeriksaan calcium scoring dengan menggunakan CT scan cukup sederhana. Pasien cukup berbaring telentang pada meja pemeriksaan CT scan kemudian mengikuti instruksi dari pemeriksa untuk menarik lalu menahan nafas selama beberapa detik. Ketika semua persiapan sudah dilakukan dengan baik, total waktu yang diperlukan untuk proses pemeriksaan calcium scoring ini relatif singkat hanya sekitar 10-15 menit.

Gambar 1. Pasien cukup berbaring di meja pemeriksaan CT scan untuk dilakukan pemeriksaan calcium scoring.
Bagaimana interpretasi hasil dari pemeriksaan calcium scoring ?
Hasil dari pemeriksaan Calcium scoring adalah berupa range angka dengan tabel sebagian berikut :

Tabel 1. Hasil rentang angka derajat penumpukan kalsifikasi pada pembuluh koroner.
Secara umum, hasil pemeriksaan Calcium Scoring ini muncul secara komputerisasi dan akan divalidasi oleh dokter spesialis Radiologi / spesialis Jantung. Semakin tinggi angka dari calcium scoring maka akan semakin besar kemungkinan atau prediksi seseorang untuk terkena penyakit jantung koroner. Hasil dari pemeriksaan Calcium Scoring ini selanjutnya akan dievaluasi oleh dokter spesialis jantung / penyakit dalam konsultan kardiovaskular untuk perencanaan tindakan selanjutnya baik dalam bentuk terapi, tindakan diagnostik lanjutan, ataupun tindakan medis lainnya sesuai indikasi.

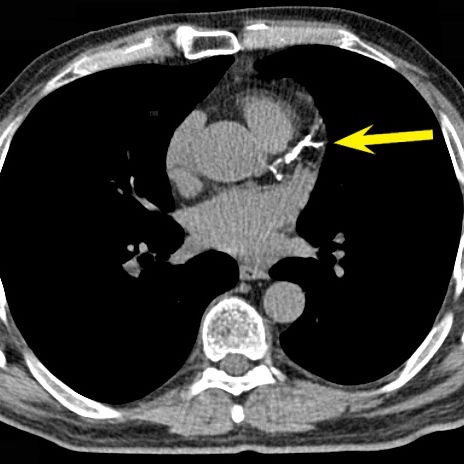
Gambar 2. Gambaran tumpukan plak berkalsifkasi pada pembuluh darah koroner yang terlihat pada CT scan.

Gambar 3. Gambar penumpukan plak kalsium pada pembuluh darah koroner yan terlihat pada CT Scan
Adakah Komplikasi Dari Prosedur Pemeriksaan Calcium Scoring ?
Tidak ada komplikasi dari prosedur pemeriksaan calcium scoring. Adapun dosis radiasi yang diterima pasien dari Sinar-X alat CT scan sangatlah rendah, dapat kurang dari 1 mSv.
Siapakah yang dapati dilakukan pemeriksaan Calcium Scoring?
Individu yang disarankan untuk dilakukan pemeriksaan calcium scoring adalah mereka yang memiliki faktor risiko penyakit jantung seperti hipertensi, hiperkolesterolemia, serta mereka dengan gejala penyakit sindrom metabolic. Beberapa studi menyarankan agar screening pemeriksaaan calcium scoring dilakukan pada rentang usia 40-70 tahun. Usia yang lebih muda dapat saja dilakukan screening pemeriksan calcium scoring bila memang ada riwayat penyakit jantung dalam keluarga atau di usia tersebut telah memiliki beberapa kriteria risiko penyakit jantung koroner.
Seberapa sering Prosedur Pemeriksaan Calcium Scoring dapat dilakukan?
Berdasarkan panduan rekomendasi dari SCCT (Society of Cardiovascular Computed Tomography), pemeriksaan calcium scoring dapat diulang dalam jangka 5 tahun pada individu dengan hasil pemeriksaan awal calcium scoring menunjukkan angka 0. Bagi individu dengan hasil awal pemeriksaan calcium scoring awal diatas 0, maka pemeriksaan calcium scoring dapat diulang dalam rentang 3-5 tahun. Namun, apabila pada pemeriksaan awal hasil calcium scoring sudah tinggi (diatas 400) maka pemeriksaan calcium scoring tidak perlu diulang. Hasil diatas 400 sebaiknya segera dikonsultasikan kepada dokter spesialis jantung untuk tatalakasana lebih lanjut.
Apakah ada keterbatasan dari pemeriksaan Calcium Scoring ?
Pemeriksaan Calcium Scoring memiliki keterbatasan dalam mendeteksi plak yang tidak memiliki komponen kalsifikasi (soft plaque). Untuk mengevaluasi soft plaque, diperlukan pemeriksaan tambahan dengan menggunakan zat kontras sebagai tahap evaluasi lebih lanjut sesuai indikasi apabila diperlukan. Soft plaque masih dapat terbentuk pada semua individu terutama dengan faktor risiko tinggi atau riwayat penyakit jantung dalam keluarganya, meskipun nilai calcium scoring tidak menunjukkan risiko terjadinya penyakit kardiovaskular (rentang nilai 0 / rendah).

Gambar 4. Gambaran plak yang tidak memiliki komponen kalsifkasi (soft plaque), yang hanya dapat terdeteksi pada pemeriksaan menggunakan zat kontras.
Kesimpulan
Pemeriksaan calcium scoring merupakan metode non-invasif dengan menggunakan CT Scan untuk menghitung deposit calcium pada atherosclerosis, yang merupakan predictor terjadinya penyakit jantung coroner, terutama bagi individu dengan faktor risiko tinggi ataupun riwayat penyakit jantung dalam keluarganya. Metode ini adalah pelengkap dari rangkaian deteksi dini penyakit jantung koroner lainnya seperti treadmill test dan echocardiography. Semakin tinggi nilai calcium scoring seseorang, maka semakin besar kemungkinan seseorang terkena penyakit jantung koroner.
Tidak ada persiapan khusus untuk sebelum pemeriksaan ini dilakukan. Pasien cukup menghindari konsumsi kafein dan merokok. Pemeriksaan ini sangat ama karena dosis radiasi yang digunakan sangat rendah yaitu dibawah 1 mSv.
Namun calcium scoring tidak dapat mendeteksi plak yang tidak memiliki komponen kalsifikasi (soft plaque). Pemeriksaan lanjutan menggunakan zat kontras diperlukan sesuai indikasi untuk mengevaluasi ada tidaknya soft plaque.
Oleh karena itu hasil pemeriksaan calcium scoring perlu dikonsultasikan ke dokter spesialis jantung/penyakit dalam kardiovaskular untuk tindakan selanjutnya baik dalam bentuk terapi ataupun tindakan diagnostic lanjutan.
Referensi :
Gupta A., Bera K., Kikano E. Coronary artery calcium scoring : current status and future direction. Radiographics, 2002. 42 : 947-967
Pletcher M., Sibley C., Pignone.. 2013. Interpretation of coronary artery calcium score in combination with conventional cardiovascular risk factors. Circulation. 2013. 128 : 1076-1084.
Materi oleh : dr. Aldi Ishwara Sidharta, Sp.Rad


